Produktqualität durch Erfahrung
Funktionalität und Langlebigkeit von Werkzeugen, Software und Materialien sind das A und O in unserer Dentalbranche.
Unsere Artikel sind alle getestet, selbst entwickelt oder produziert. Mehr Infos?
Expertise durch ZTM Jochen Peters
Wir profitieren von Jochen Peters und seinem innovativen toZERO®-Konzept bei der Produktauswahl.
Erfahren Sie mehr über ZTM Jochen Peters und seine Schulungen:

Klammern *ArtiSpeed-Klemmen* nach Jochen Peters
Unsere Klammern ArtiSpeed-Klemmen sind die beste Alternative zu Klebepistole und Co. Mit ihnen gelingt das saubere, schnelle und einfache fixieren der Modelle für den Artikulator oder Scann. Lästiges und aufwendiges reinigen der Modelle entfällt komplett. Und: ArtiSpeed-Klemmen sind wiederverwendbar und handgefertigt.

LeCron & Sonde, Aufwachsinstrumente nach Jochen Peters
Ob als Instrumentenset oder einzeln: Mit dem bereits „eingearbeiteten“ Modelliermesser des LeCron lassen sich Fissuren, Höckerabhänge, Zahnwandungen etc. sauber und – von Beginn an – kratzfrei gestalten. Der besondere Schliff macht es möglich. Die optimale Sondengrösse des Aufwachsinstrumentes ermöglicht kleine oder größere Wachsportionen sicher abzulegen. Mit dem hochwertigen Instrumentenset haben Sie alles, was Sie zum Modellieren benötigen. Die Instrumente sind aus rostreiem Edelstahl und *Made in Germany*.

Keramikpinsel *OccluSpeed* nach Jochen Peters
Eine Größe, drei Farben. Damit sind unsere Pinsel bestens geeignet zur Verarbeitung unterschiedlicher Keramikmassen. Die Pinselgröße 2 eignet sich hervorragend für die Schichtung im Front- und Seitenzahnbereich. Durch die feine Spitze und die geringere Wasseraufnahme lassen sich Fissuren oder Mamelons perfekt gestalten. Das feine Marderhaar und die exklusive Verarbeitung sprechen für sich.

Brennträger-Set *Zirkonoxid* nach Jochen Peters
Die Brennträger aus Zirkonoxid sind besonders für das schonende Abkühlen von Zirkonkronen und Brücken einsetzbar. Die 5 Träger im Set setzen sich aus unterschiedlichen Größen zusammen, so dass für alle Brücken, Front- und Seitenzähne alle erdenklichen Kombinationen für das Brennen gestellt werden können.

Aufkleber *Okklusaler Kompass* nach Jochen Peters
Dieser Modellaufkleber sorgt für eindeutige Orientierung beim Arbeiten. Einfach auf dem Modell richtig positionieren, aufkleben, fertig. Und schon wissen alle Fachleute, wo es lang geht.
Der Aufkleber wird exklusiv für uns hergestellt und ist aufwendiger, als er aussieht: Aus flexiblen Material, mit hochwertigem Kleber und für das leichte Abziehen exakt vorgestanzt.

Modellierwachs *Sahara* nach Jochen Peters
Unser sandfarbenes Wachs Sahara lässt sich hervorragend ziehen und besticht durch sein perfektes Stehvermögen. Es schmiert und federt nicht nach. Durch sein rückstandsloses Verbrennen, ist es bestens geeignet für die Brücken-, Inlay-, Onlay-, Guss-, Press- und Frästechnik. Zudem ist es auf unser Unterzieh-/Käppchenwachs „Wood“ abgestimmt.

Modellierwachs *Sunlight* nach Jochen Peters
Unser maisgelbes Wachs Sunlight lässt sich hervorragend ziehen und besticht durch sein perfektes Stehvermögen. Es schmiert und federt nicht nach. Durch sein rückstandsloses Verbrennen, ist es bestens geeignet für die Brücken-, Inlay-, Onlay-, Guss-, Press- und Frästechnik. Zudem ist es auf unser Unterzieh-/Käppchenwachs „Wood“ abgestimmt.

Modellierwachs *Ivory* nach Jochen Peters
Unser elfenbeinfarbenes Wachs Ivory lässt sich hervorragend ziehen und besticht durch sein perfektes Stehvermögen. Es schmiert und federt nicht nach. Durch sein rückstandsloses Verbrennen, ist es bestens geeignet für die Brücken-, Inlay-, Onlay-, Guss-, Press- und Frästechnik. Zudem ist es auf unser Unterzieh-/Käppchenwachs „Wood“ abgestimmt.

Cervikalwachs *Wood* nach Jochen Peters
Unser schokobraunes Unterzieh-/Käppchenwachs Wood eignet sich sehr gut zur okklusalen Kontrastierung und optimalen Gestaltung von Randschlüssen. Es ist weicher als die Modellierwachse, schmier-/federfrei und stellt sich nicht zurück, verbrennt rückstandslos und ist auf unsere 3 Modellierwachs-Allrounder perfekt abgestimmt.

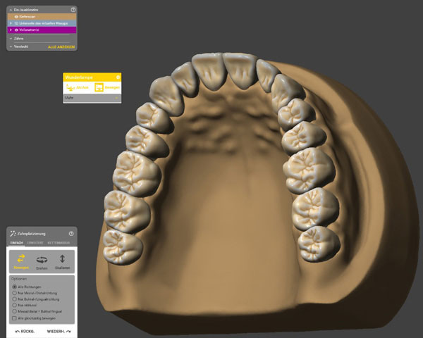
3Shape – Zahnbibliothek by Jochen Peters
Die Zähne unserer Zahnbibliothek wurden für eine ästhetisch anspruchsvolle und funktionell korrekte Konstruktion entwickelt. Passende Vorlagen kann kein System liefern, doch die einzigartige Konzeption unserer 32-teiligen Bibliothek – in Verbindung mit dem Okklusalen Kompass – erlaubt mit nur wenigen Klicks eine schnelle und individuelle Anpassung an das jeweilige Restgebiss. Dies sorgt nicht nur für mehr Systemstabilität, sondern ebenso für optimale Fräsergebnisse, weniger Einschleifmaßnahmen und einen minimierten Zeitaufwand in Praxis und Labor.
Produkt-Lizenz bei ZTM J. PETERS

exocad – Zahndatenbank by Jochen Peters
Die perfekte Erweiterung zu jeder Standardbibliothek ist unsere neue 32-teilige Zahndatenbank, die mit nur wenigen Klicks eine schnelle und individuelle Anpassung an das jeweilige Restgebiss zulässt. Durch ästhetisch anspruchsvolle und funktionell korrekte Vorlagen, können sämtliche Kauflächen und Frontzahngestaltungen, für die Kronen- und Brückentechnik, mühelos umgesetzt werden. Die neue Bibliothek bildet eine optimale Basis zur Zeit- und Kostenersparnis in Labor- und Praxis. Eine anwenderfreundliche Software, die optimale Fräsergebnisse ermöglicht und Einschleifmaßnahmen reduziert, zudem kann sie auch bei der individuellen Gestaltung von Teil-, Interims- oder Totalprothesen genutzt werden.
Produkt-Lizenz bei ZTM J. PETERS

Schulungs-CD *Step-by-Step* nach Jochen Peters
Zukunft braucht Herkunft, diesem Motto entsprechend vermittelt unsere Schulungs-CD-ROM zum Thema „Rationelle Aufwachstechnik“ analoges Handling und theoretisches Know How. Diese Basics sind für unsere heutige digitale Technik Grundvoraussetzung. Denn nur wer analog versteht, kann digital denken! Zu den Basics gehört der
Okklusale Kompass ebenso, wie die Morphologie oder Beschreibung der Funktion. Alle Arbeitsschritte werden Step-by-Step gezeigt und lassen sich leicht und verständlich nachvollziehen. Das hier dargestellte und erlernte theoretische Wissen, ist 1:1 auf die digitale Technik anwendbar.
Kontaktieren Sie uns
Haben Sie Fragen zu Produkten, oder benötigen Sie andere Auskünfte? Dann sind Sie hier richtig: Rufen Sie an oder senden Sie uns eine eMail.
